症例紹介
インプラントアンカーを用いた矯正治療|20年予後症例
こんにちは、三田市ウッディタウンのたなか歯科医院です。
今回は、工夫を凝らした矯正治療を行い、その後20年間にわたりお口の健康を保っておられる方の症例をご紹介します。
患者さまは40代の女性の方で、歯並びと歯石が付いているのを気にして来院されました。
お口の中を拝見したところ、歯並びと咬み合わせに問題があり、上下の前歯がしっかりと咬んでいない状態でした。
奥歯はむし歯治療を繰り返しており、かなり状態の悪い歯がいくつかある状態です。
このまま咬み合わせを治さなければ、ドミノ倒しのように歯を失ってしまう可能性がありました。
何度もご相談をさせていただき、患者さまは矯正治療を希望されました。


黄色で〇をつけた歯は、すでに神経の無い「失活歯」です。
通常、抜歯が必要な矯正治療では真ん中あたりの4,5番目の歯を抜くことが多いです。
そうすることで奥歯と前歯の間にスペースが出来るため、綺麗に並べやすいからです。
しかしこの方は4,5番目の歯は健康で神経のある「生活歯」であったため、何とかこれを残せないものかと考えました。
───────────────────────────────────────────────────────
◆生活歯(せいかつし)と失活歯(しっかつし)とは?
生活歯:歯の内部にある歯髄(神経と血管が通る組織)が生きている歯
失活歯:歯の歯髄が除去され、人口材料によって詰められている歯
失活歯は生活歯と比較して約7~30倍抜歯になりやすいとされています。
その理由として、根っこが割れてしまう歯根破折や二次カリエスの見逃し( 痛みを感じないため、被せ物の下で虫歯が再発しても気づきません)、根の先に膿が溜まる根尖性歯周炎などが挙げられます。
───────────────────────────────────────────────────────
そこで、矯正治療が難しくなることを承知の上で、失活歯を抜歯し、状態の良い生活歯のみで咬み合わせを作る治療計画としました。
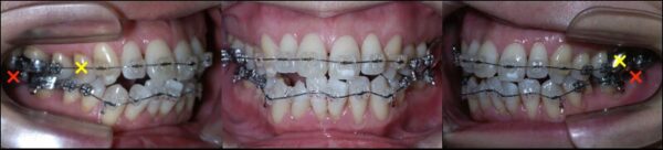
×印を付けたところを抜歯し、矯正治療を行う計画としました。

しかし、このまま単純に矯正をしたのでは歯は綺麗に並びません。そこで登場するのが「矯正用インプラントアンカー(TAD)」です。
───────────────────────────────────────────────────────
◆矯正用インプラントアンカー(TAD)とは?
歯を動かすとき、普通は「引っ張る側の歯」も動いてしまいます。それを解決するための、小さなネジです。
歯ぐきの骨(顎骨)に直接埋入します。麻酔下で行われ、数分で終わる処置です。
骨にしっかり固定されるため、そこを支点にして歯を引っ張ることで、特定の歯だけを正確に、あるいは大きく移動させることが可能になります。
───────────────────────────────────────────────────────
矯正治療開始時の状態です。

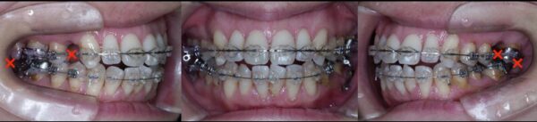
矯正治療開始後7か月の状態です。

矯正治療開始後12か月の状態です。

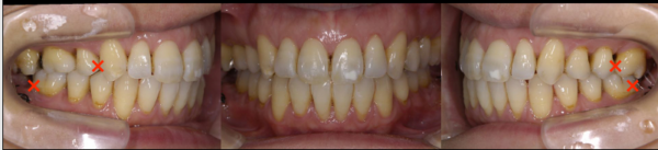
矯正終了時の状態です。ここから、メンテナンスに移行しました。

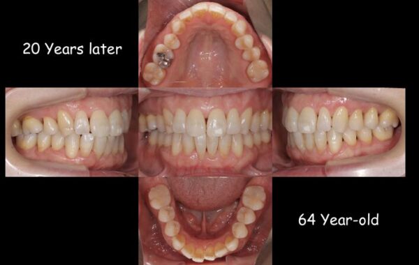
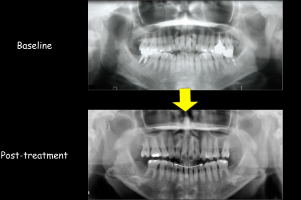
そして、治療終了後20年の状態です。
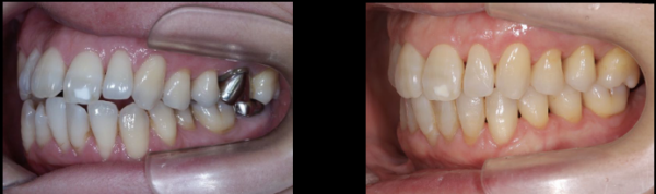
患者さまは還暦を迎えられましたが、お口の中は非常に健康で若々しい状態を保っておられます。


治療前後のレントゲン写真を見ると、失活歯(根っこにお薬が入っている歯)が減っているのがわかります。
20年もの長い間、ほぼ歯の治療を行わず済んだのは、第一にこの患者さまがしっかりとお手入れとメンテナンスを欠かさず、努力された事に他なりません。
それに加えて、この矯正治療によって、状態の良い歯のみで歯列を作り、歯並びと咬み合わせを改善できたことも、一つの要因であったと思います。
(左:治療前 右:治療終了後20年経過時)
当院では20年後、30年後に「受けて良かった」と思っていただける治療を提供できるように診療にあたっております。
歯は一生ものですので、後悔の無い選択をしていただけるよう、全力でサポートさせていただきます。