家族で通える、
身近で頼れる
歯医者さん。
地域に根ざした、総合的な
歯科医療をご提供します。
Conceptすべての世代に寄り添う、
家族のかかりつけ歯科医院
小さなお子さまからご年配の方まで、幅広い世代のお悩みに対応しています。
矯正や根管治療、補綴など各分野に精通した歯科医師が在籍し、予防から高度な治療まで院内で完結できる体制を整えています。
マイクロスコープや歯科用CTを用いた精密な診療で、見た目と機能を両立した、再発リスクの少ない治療を目指しています。
地域の「かかりつけ医」として、日々の診療を通じて皆さまの健康と笑顔を支えます。

Feature当院の特徴
First初めてご来院される方へ

初診の方に向けて、
スムーズにご来院
いただく
ためのご案内
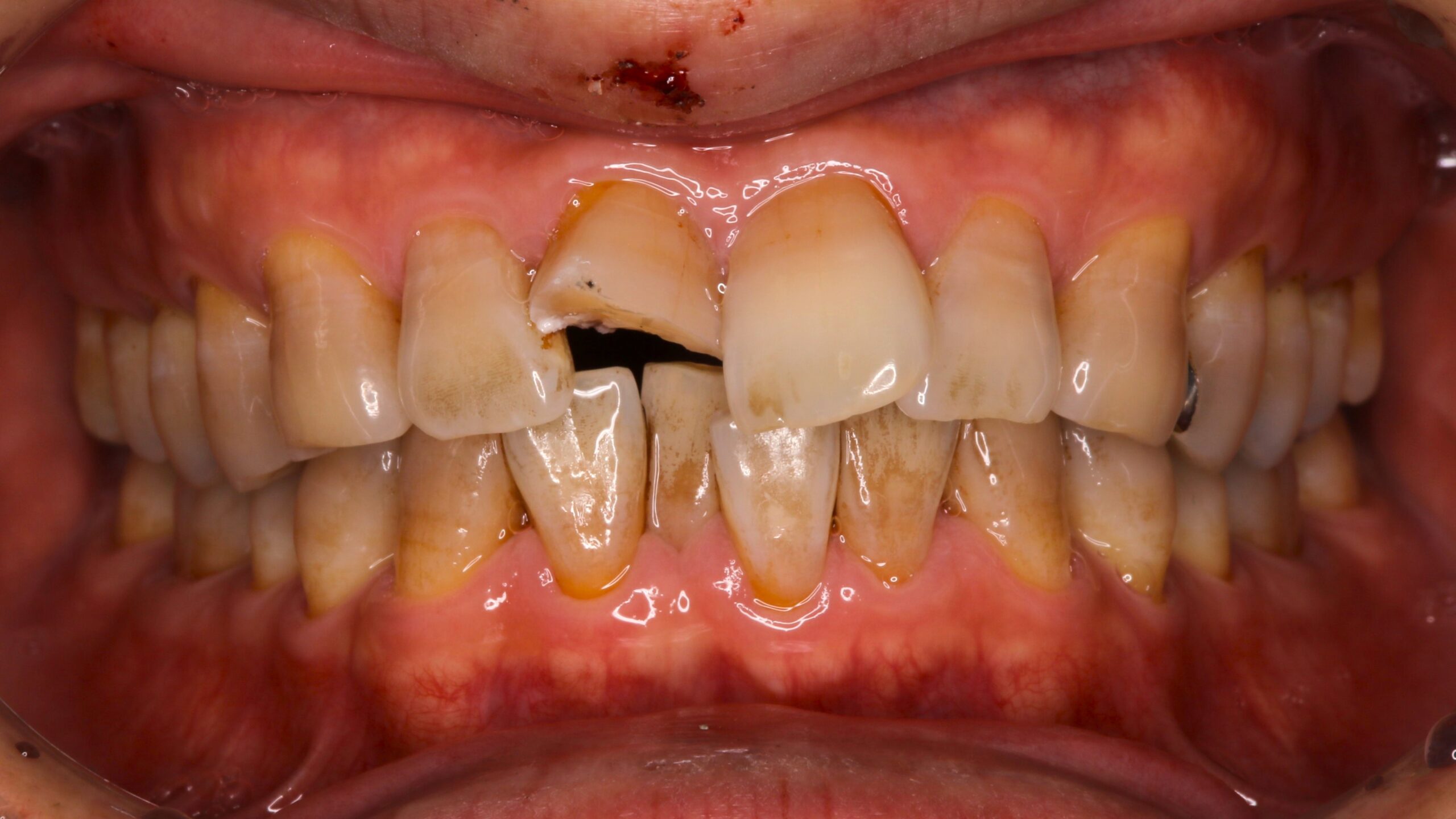
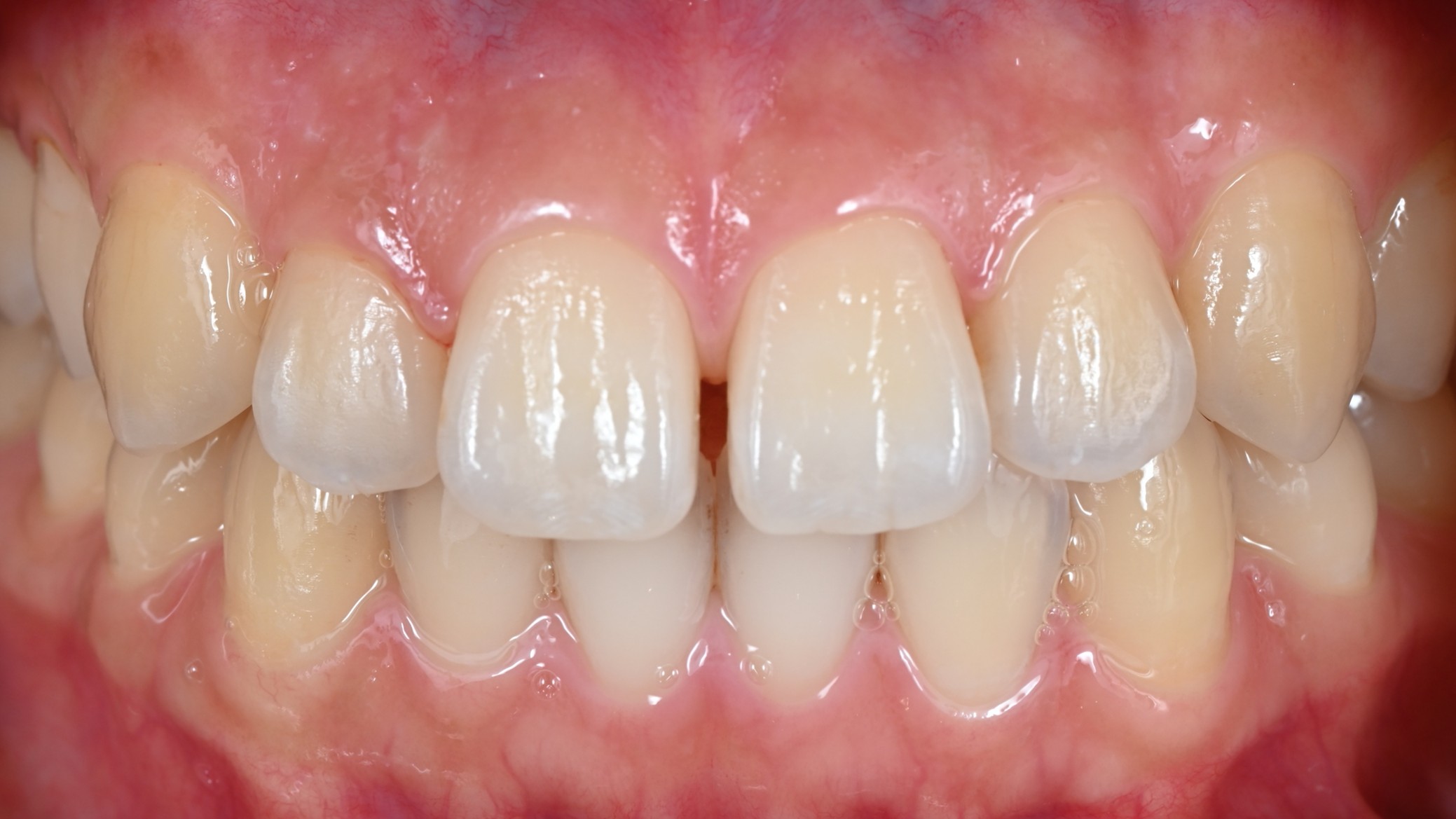
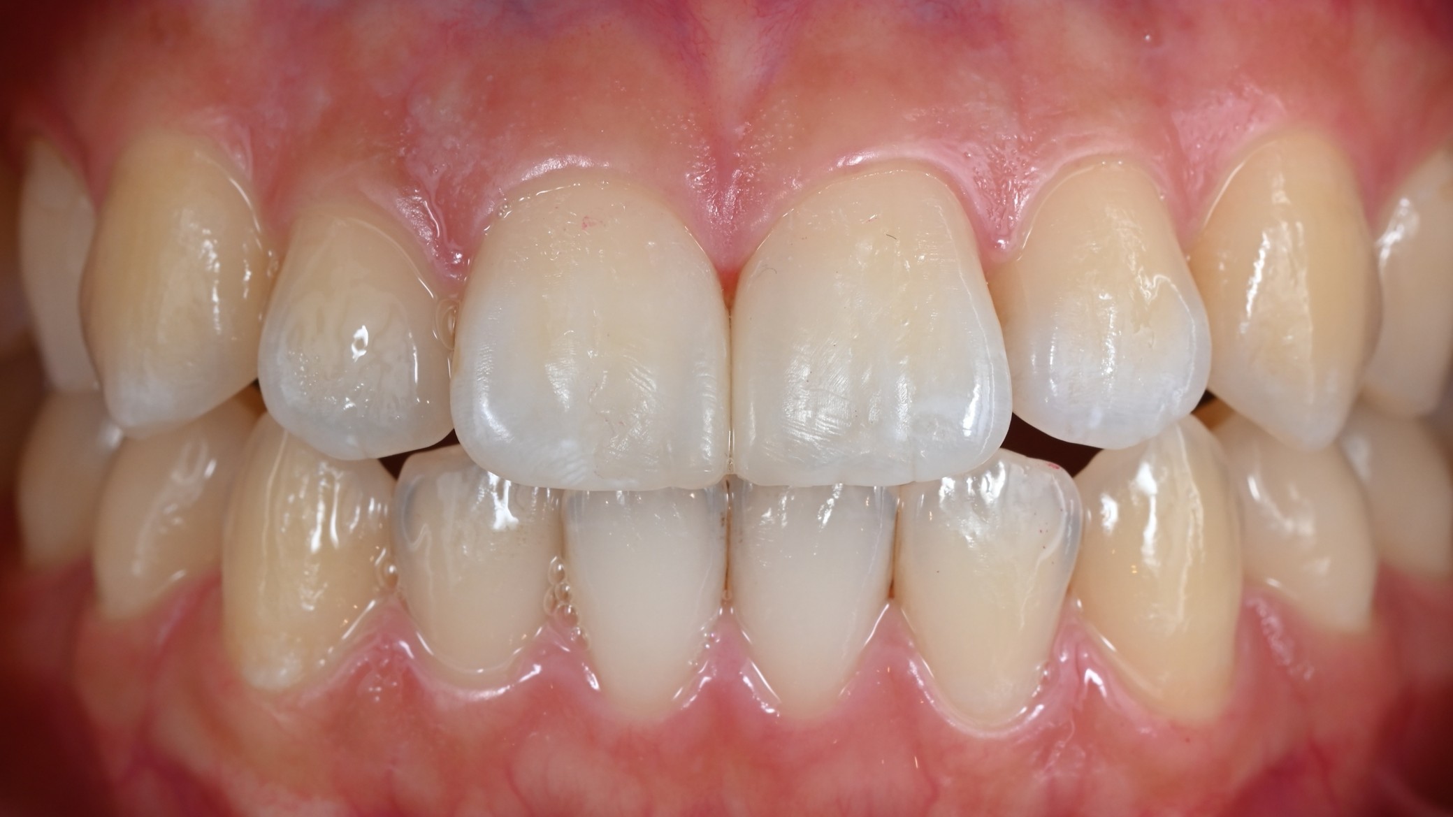
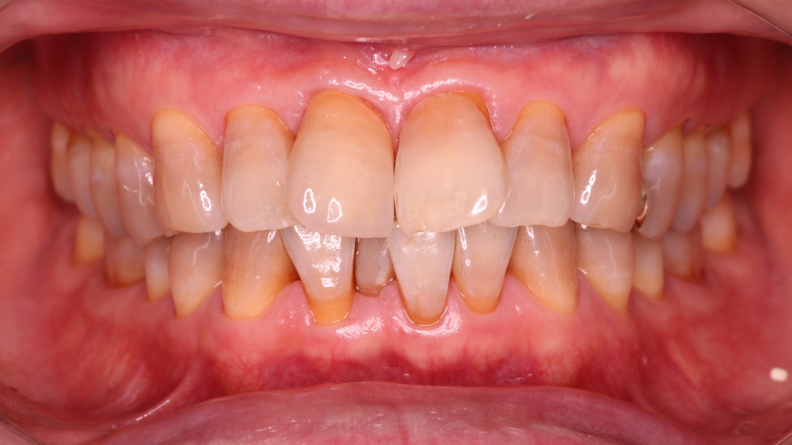
Case症例紹介
Newsお知らせ
Schedule診療カレンダー
| 日 | 月 | 火 | 水 | 木 | 金 | 土 | ||||||||||||||
|---|---|---|---|---|---|---|---|---|---|---|---|---|---|---|---|---|---|---|---|---|
| ||||||||||||||||||||
| ||||||||||||||||||||
| ||||||||||||||||||||
| ||||||||||||||||||||
| ||||||||||||||||||||
| ||||||||||||||||||||
休診
午前休
午後休
9:00-12:00/13:00-17:00
三田市で歯医者を
お探しの皆様へ
たなか歯科医院は、皆さまの「生涯のパートナー」であるために地域に根ざし、お子さまからご年配の方まで、幅広い世代の方々に安心して通っていただける歯医者を目指しています。
当院では、矯正・補綴・根管治療などの専門性を活かした治療をご提供しています。そして、患者さまとの信頼関係を何より大切にし、一人ひとりに寄り添った診療を心がけています。治療だけで終わるのではなく、その後の予防やメンテナンスまでを見据え、お口の健康を長く守るサポートを続けてまいります。
歯を診ることは人生をそっと支えること、そう信じて真摯に診療に向き合っています。


- 長崎大学歯学部 卒業
- 日本矯正歯科学会 認定医
- 日本臨床歯科補綴学会 顎関節と嚙み合わせ 専門医
- ほんだ式口臭治療 認定医
- 日本臨床歯周病学会 会員
- OJ(オッセオインテグレーション・オブ・ジャパン)会員
- 大阪大学歯学部 卒業
- 大阪大学大学院歯学研究科 卒業
- 歯学博士
- 日本歯内療法学会 専門医
- 日本歯科保存学会 認定医
- 厚生労働省 卒後臨床研修指導医














