症例紹介
前歯のすきっ歯(正中離開)をダイレクトボンディングで改善した症例
こんにちは、三田市ウッディタウンのたなか歯科医院です。
「前歯のすき間が気になる…」
今回はそんなお悩みで来院された患者さんの症例をご紹介します。
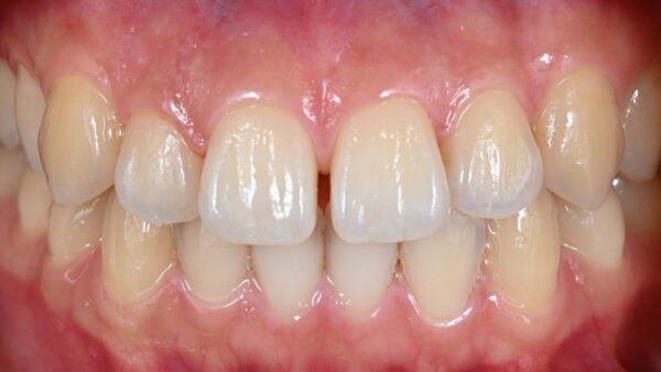
今回の患者さんは、上の前歯(真ん中の歯)の間にすき間がある「正中離開」の状態でした。
見た目が気になるとのことで、短期間での改善をご希望されていました。

患者さまと相談し、ダイレクトボンディングによってすき間を詰める治療方針としました。
✨ ダイレクトボンディングとは
歯をほぼ削ることなく、歯科用の白い樹脂(コンポジットレジン)を直接盛り足して形を整える治療です。
・歯をほとんど削らない
・1~2回の治療で完了することが多い
・自然な見た目に仕上がる
といったメリットがあります。
🛠 治療の経過(術者目線なので上下が逆になります)
1.治療の精度を上げるため、ラバーダム防湿を行います

2.専用の器具で、歯の離開量を測定します

3.歯とレジンの接着力を上げるため、表面処理をします
(今回の治療では、歯は全く削っていません!)

4.専用の隔壁(プラスチック製の壁)を設置します
これによって詰め物の外形を決めます

5.まずは右側を充填し、次に左側を充填していきます
約1.2mmほどの隙間にレジンを流し込み、形作るのには非常に繊細な作業が要求されます

6.充填直後の状態です。ここから形を整えていきます

7.色紙を用い、左右対称の形態を目指していきます

😊 治療後の変化
すき間が自然に閉じ、バランスの取れた美しい前歯になりました。
患者さんにも「とても自然で、自分の歯みたい」と喜んでいただけました。
このように、ダイレクトボンディングは正中離開に対する有効な手段の一つです。
全ての方が適応となるわけではなく、矯正治療や歯を削る処置が必要となる場合もあります。
気になる方は、まずはお気軽にご相談ください。
Before

After

| 患者 | 20代・女性 |
|---|---|
| 住所 | 大阪府箕面市 |
| 主訴・ニーズ | 前歯のすき間が気になる |
| 診断名・症状 | 上顎中切歯 正中離開 |
| 治療内容 | 正中離開に対するダイレクトボンディング |
| 治療費 | 72,000円(税抜き) |
| 治療期間 | 2回 |
| 院長コメント リスク・副作用 |
強い衝撃で欠けることや、経年的に着色することがあります。 治療後も定期的なメンテナンスが大切です。 |