症例紹介
インプラントと被せ物治療で咬み合わせを回復した症例
こんにちは。三田市ウッディタウンのたなか歯科医院です。
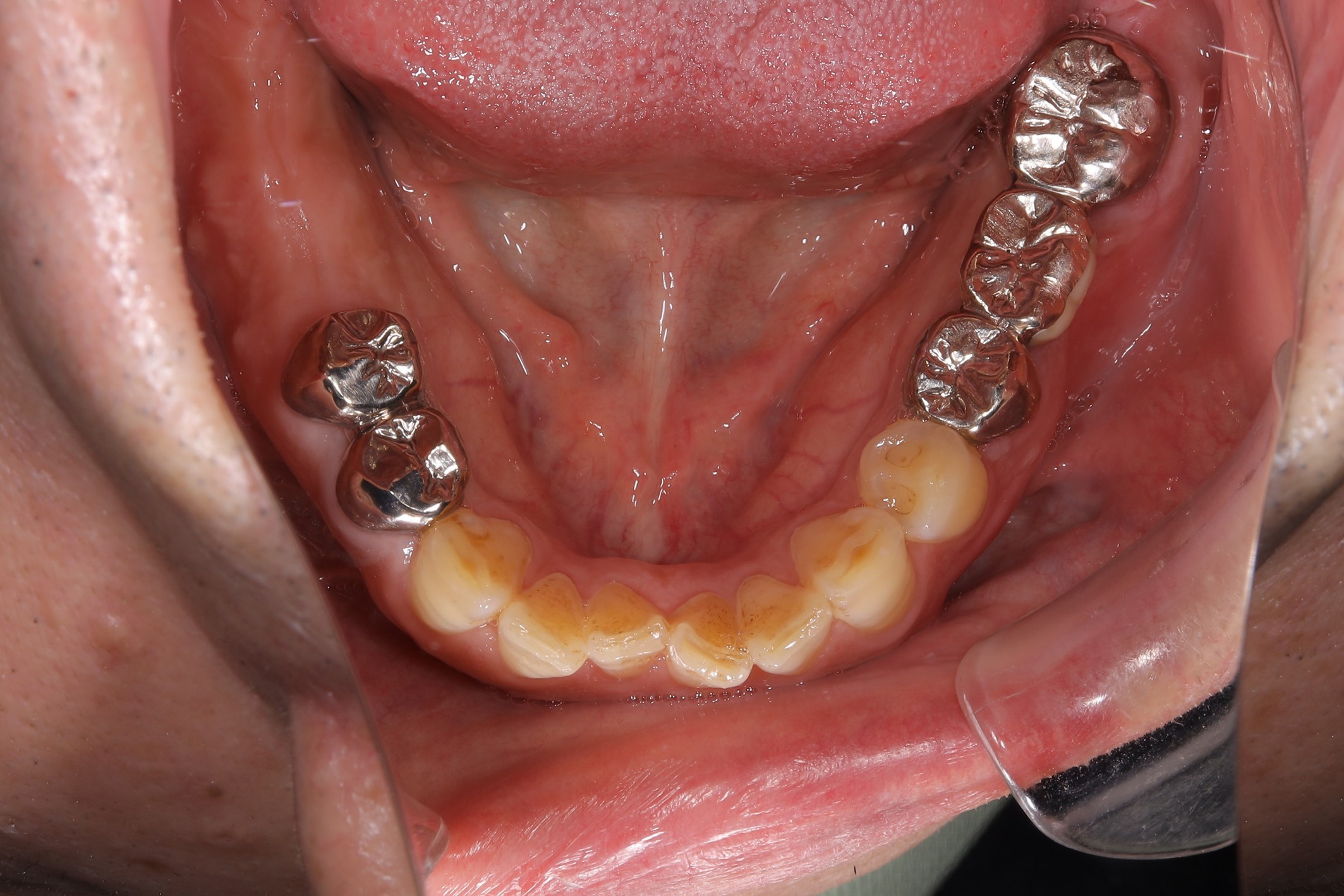
今回ご紹介する患者様は右側の奥歯が欠損しており、食事がしにくいと訴えておられました。
診査・診断の結果、右下の奥歯が欠損していることにより右上の奥歯の挺出が起こっていると判断したため、右上の奥歯の再治療が必要と判断しました。
また、右上の3番目から5番目の歯のブリッジ、右下の4番目、5番目の歯の被せ物に不適合が認められたため、この部位も再治療を行いました。
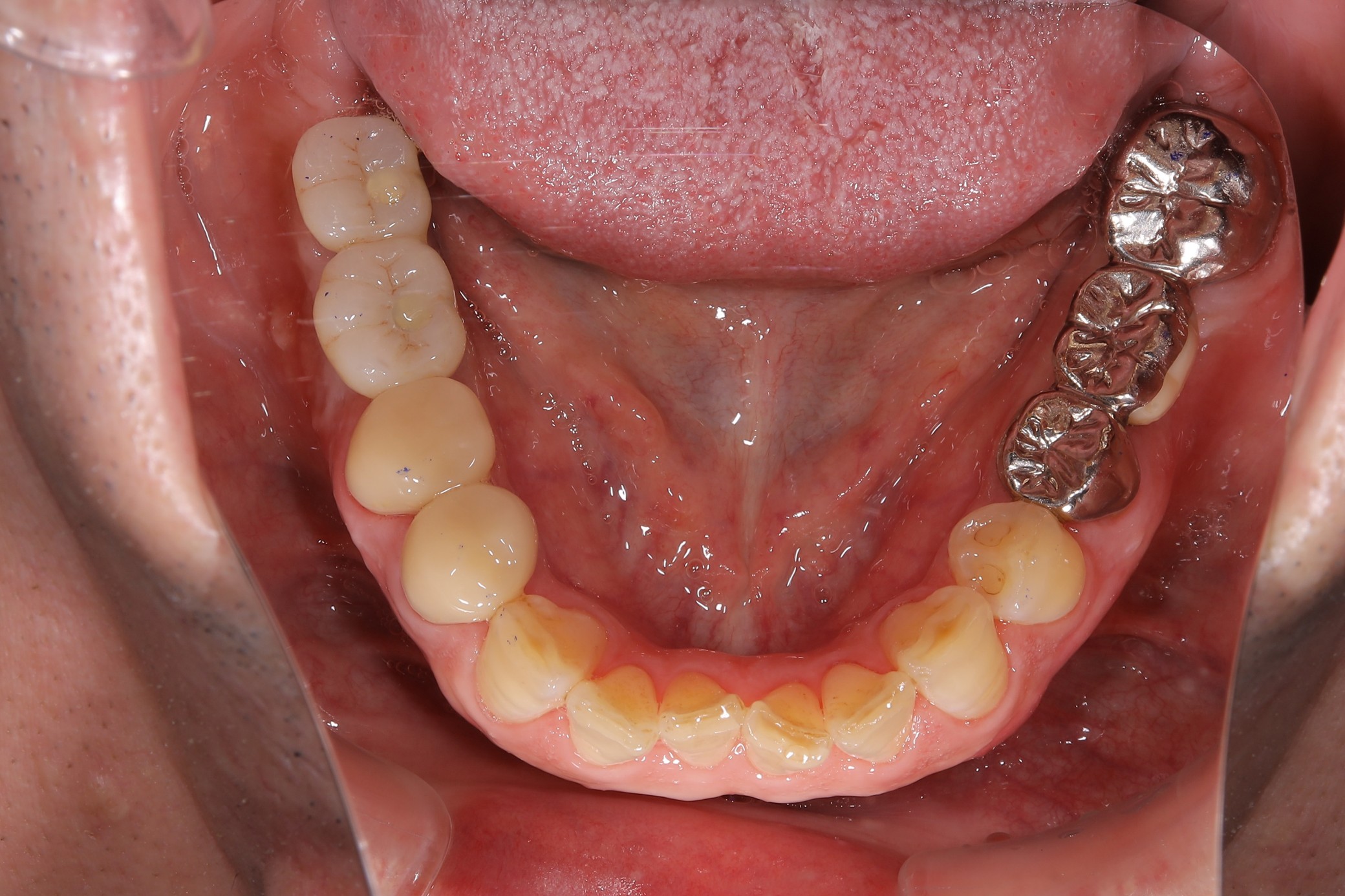
右下にインプラントを2本埋入し、右上下の歯の咬み合わせの平面を仮歯で整えた後、最終的な被せ物を装着しました。
機能面だけでなく、審美的にもご満足いただける治療結果を得ることができました。
インプラント治療は有効な方法ですが、”ただ、歯の無いところをインプラントで補う”だけでは、上手くいかないケースが多いです。
この症例のように、咬み合わせになる歯や手前の歯の治療や、場合によっては全体的な矯正治療が必要となることがあります。
当院では、治療後の状態が永くにわたって安定することを最も重視し、治療を行っております。
また、高難度なインプラント治療にも対応しておりますので、他院で難しいと言われたことがある方も、ぜひ一度当院でご相談ください。
Before


After


| 患者 | 60歳、男性 |
|---|---|
| 治療内容 | 右下67インプラント埋入、セラミッククラウン 右下45CAD/CAM冠(保険適応) 右上7全部金属冠(保険適応) 右上6セラミッククラウン 右上345セラミックブリッジ |
| 治療費 | 約155万円 |
| 治療期間 | 約1年 |
| 院長コメント リスク・副作用 |
インプラント治療に際して、次のようなリスクが考えられます。 ・手術直後に腫れが出る ・チタンアレルギーが起きる ・神経や血管を傷つけてしまう ・インプラント体とあごの骨が上手く結合しない |