症例紹介
外傷により破折した上顎前歯をセラミッククラウンで修復した症例
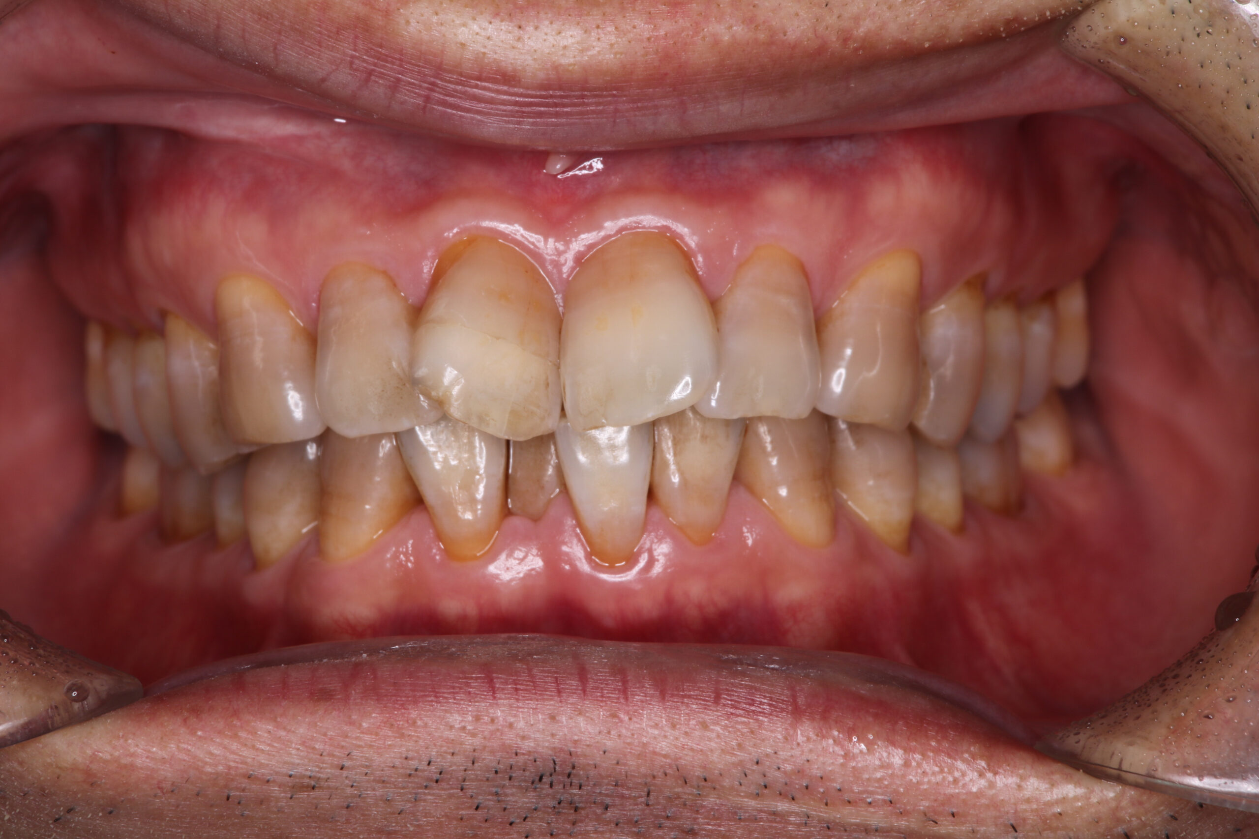
Before


コンポジットレジンレジンで仮充填をした状態です
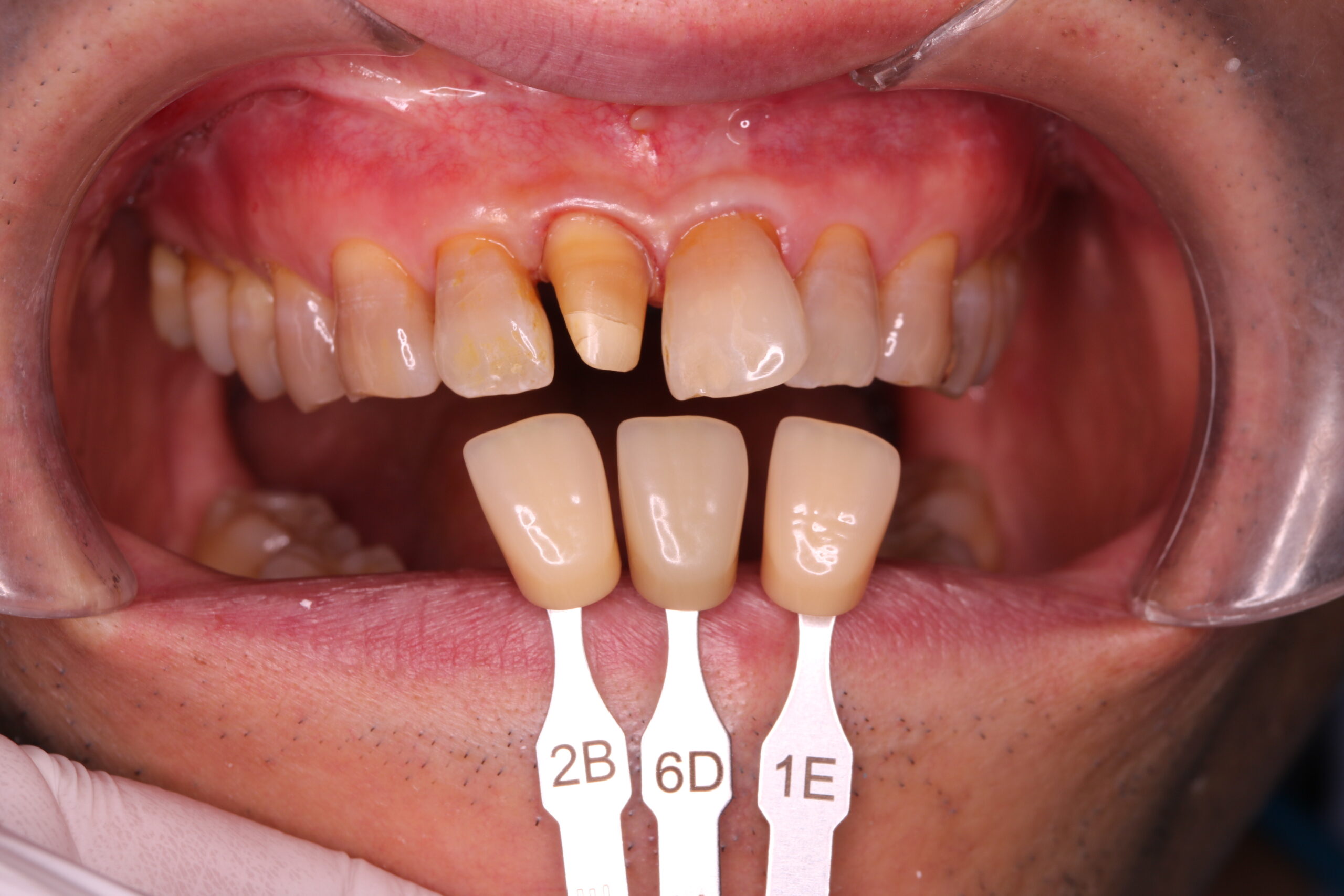
After


技工士さんに歯の色を伝えるための写真です
| 患者 | 60代男性 |
|---|---|
| 住所 | 三田市 |
| 主訴・ニーズ | 前歯が割れてしまったので治療してほしい |
| 診断名・症状 | 右上1歯冠破折、歯髄壊死 |
| 治療内容 | 右上1番の歯には破折が認められ、歯の根の治療も必要な状態でした。 まずは見た目を回復するために暫間的な詰め物を入れました。 その後歯の根の治療を行い、ジルコニアベースのセラミッククラウンで修復を行いました。 |
| 治療費 | 176,000円(税込) |
| 治療期間 | 約3か月 |
| 院長コメント リスク・副作用 |
患者様は歯が割れてしまったことにショックを受けておられましたが、最終的な仕上がりには大変喜んでいただけました。 当院が連携している歯科技工士さんは全国的にも有名な方で、技工士の指導・育成にも携わっておられます。腕の良い技工士さんの手にかかると、この症例のように自分の歯とほとんど見分けがつかないような被せ物を作ることも可能です。審美治療に関してはぜひ当院にお任せください。 リスク・副作用:被せ物の一部が欠けたり、脱離する可能性があります。 |